IA-TRad
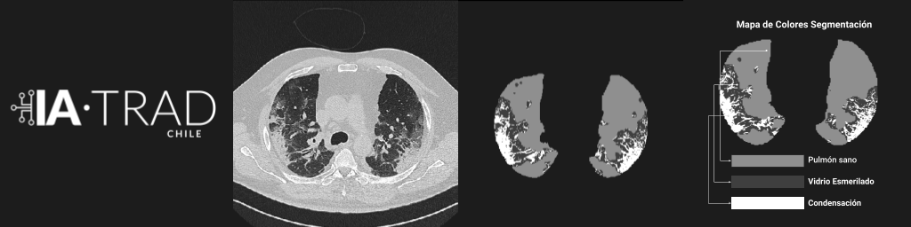
Apoyo al diagnóstico para COVID-19
Buscador de Examenes
Entrega de predicción
Ingrese el número de registro: